Описание
Технические требования
Наличие оборудования
- Artis Q
- Artis Q.zen
- Artis zee
- Многоосевая система Artis zeego
- Напольная система Artis zee
- Система ARTIS pheno
- Система Artis zee с потолочным креплением
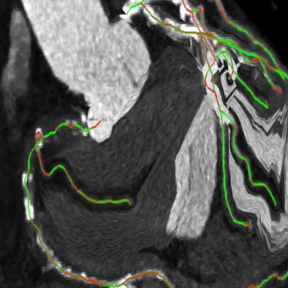
- Автоматическая сегментация коронарных окклюзий, определение и цветовое кодирование центральных линий.
- Цветовая кодировка указывает ракурс сегмента сосуда. Это позволяет выбрать оптимальный угол сегмента поражения, который обычно не виден на рентгенограмме до фактического начала процедуры.
- Кодированные цветом центральные линии используются для регистрации во время процедуры. Таким образом, требуется меньше ангиографических изображений.
При интервенционном вмешательстве CTO syngo CTO Guidance упрощает процедуры позиционирования проводника, обеспечивая параллельный (рентгеноскопические и КТА изображения) контроль. Дополнительная информация, такая как данные о кальцификации и истинная длина областей тромбированных сосудов, помогает правильно выбрать проводник, ориентацию и успешно провести операцию.
Производитель
Siemens





